
FigSpec?系列显微高光谱成像系统
光谱范围:400-1000nm
光谱波段:300
图像分辨率:1920*1920
整机重量:小于4.5kg
光谱波段:300
图像分辨率:1920*1920
整机重量:小于4.5kg
产品介绍
将显微镜及成像光谱仪两者的优点结合,可以随时对显微图像进行高光谱数据采集。
可以对现有的生物显微镜、荧光显微镜、体视显微镜、金相显微镜等进行改造,方便地把普通显微镜改造为高光谱显微镜。
客户可以根据需求定制显微镜型号。
FigSpEC?系列成像光谱仪在内部集成了视觉相机和高光谱相机,可以使用视觉相机快速预览采样图像,确定图像符合要求后再进行高光谱图像数据采集。
光谱范围:400-1000nm
光谱波段:300
图像分辨率:1920*1920
整机重量:小于4.5kg
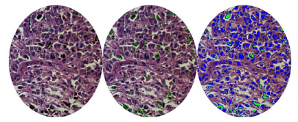
实例1:胃癌组织高光谱检测图谱联合胃癌诊断方法研究 | ![]() |
![]() | 实例2:基于高光谱技术的病理切片虚拟染色 |
实例3:基于显微高光谱成像的皮肤黑色素瘤识别黑色素瘤显微高光谱图像与标记 | ![]() |
![]() | 实例4:大熊猫毛发光谱判断熊猫年龄和健康状况大熊猫毛发显微图像和光谱(400-1000nm) |
技术参数
型号 | FS-20 | FS-22 | FS-23 | FS-25 |
分光方式 | 透射光栅分光 | 透射光栅分光 | 透射光栅分光 | 透射光栅分光 |
图像分辨率 | 1920*1920 | 1920*1920 | 1920*1920 | 320*320 |
动态范围 | 12 bits | 12 bits | 12 bits | 14 bits |
成像速度 | ≤15秒 | ≤15秒 | ≤5秒 | ≤5秒 |
光谱通道数 | 600 | 1200 | 1200 | 254 |
光谱范围 | 400-700nm | 400-1000nm | 400-1000nm | 900-1700nm |
光谱分辨率 | 2.5nm | 2.5nm | 2.5nm | 8nm |
狭缝宽度 | 25um | 25um | 25um | 25um |
透射效率 | 60% | 60% | 60% | 60% |
杂散光水平 | 0.5% | 0.5% | 0.5% | 0.5% |
像素大小 | 5.86um*5.86um | 5.86um*5.86um | 5.86um*5.86um | 30um*30um |
探测器类型 | CMOS | CMOS | CMOS | InGaAs |
传感器成像面尺寸 | 11.3*7.1mm | 11.3*7.1mm | 11.3*7.1mm | 9.6mm x 7.68mm |
标配镜头焦距 | 25mm | 25mm | 25mm | 25mm |
最小工作距离 | 100mm | 100mm | 100mm | 100mm |
视场角 | 25° | 25° | 25° | 17° |
最小曝光时间 | 34us | 34us | 21us | 1us |
最大曝光时间 | 10秒 | 10秒 | 10秒 | 1秒 |
信噪比 | 600/1 | 600/1 | 600/1 | 600/1 |
数据接口 | USB3.0 | USB3.0 | USB3.0 | 千兆网 |
| 相机镜头接口 | C | C | C | C |
| 配件 | USB3.0传输线 | USB3.0传输线 | USB3.0传输线 | 千兆网传输线 |
| 成像功能 | 有ROI功能 可以实现单个区域ROI | 有ROI功能 可以实现单个区域ROI | 有ROI功能 可以实现单个区域ROI | 有ROI功能 可以实现单个区域ROI |
| 辅助成像功能 | 辅助取景摄像头实现 对拍摄区域的监控 | 辅助取景摄像头实现 对拍摄区域的监控 | 辅助取景摄像头实现 对拍摄区域的监控 | 辅助取景摄像头实现 对拍摄区域的监控 |
| 供电方式 | 内置电池供电 | 内置电池供电 | 内置电池供电 | 内置电池供电 |
| 主机尺寸* | 255mm*138mm*107mm | 255mm*138mm*107mm | 255mm*138mm*107mm | 335mm*182mm*143mm |
| 重量** | 小于2.8kg | 小于2.8kg | 小于2.8kg | 小于5.3kg |
*尺寸不含镜头和提手 **重量不含镜头
系统组成
高光谱成像光谱相机(可选择FS-20/FS-22/FS-23)*1、镜头*1、显微镜(可指定任意厂家型号)*1、PC应用软件*1






